Histórico logro en la medicina: con un microchip y anteojos especiales, más de 30 pacientes recuperaron la vista

Una nueva prótesis ocular logró devolver la visión a personas que sufrían ceguera irreversible debido a una atrofia geográfica, la etapa final de la degeneración macular asociada a la edad (DMAE), que afecta aproximadamente a cinco millones de personas en el mundo. El hecho fue catalogado como histórico para la medicina con el objetivo de reforzar las prótesis retinianas e intervenciones oftalmológicas.
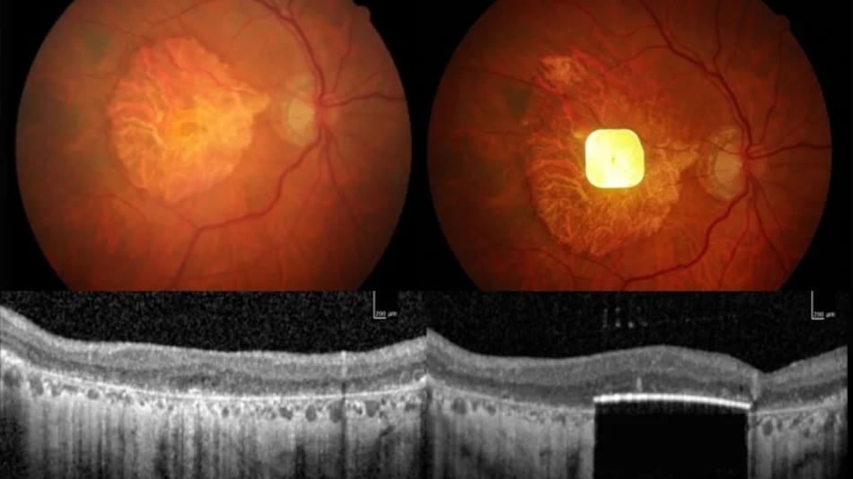
La nueva prótesis ocular que le devolvió la vista a 32 pacientes
La información fue difundida por la Agencia EFE y el dispositivo, denominado PRIMA, consta de un microchip inalámbrico del tamaño de una tarjeta SIM que se implanta detrás de la retina del paciente y unos anteojos especiales equipados con cámara que capturan imágenes exteriores y las proyectan en forma de luz infrarroja sobre el chip.
“El hecho de que una persona vea simultáneamente con la visión protésica y la periférica es importante porque pueden fusionarlas y aprovechar al máximo la visión”, comentó el investigador Daniel Palanker, de la Universidad de Stanford.
En el ensayo clínico participaron 38 pacientes mayores de 60 años de 17 centros hospitalarios de cinco países. De los 32 que completaron un año de seguimiento, 27 recuperaron la capacidad de leer letras, números o palabras, y 26 registraron “una mejora clínicamente significativa” en la agudeza visual.
También podría interesarte
Los pacientes comenzaron a usar los anteojos unas semanas después de la implantación. Las mejoras incluyeron alcanzar una agudeza de hasta 20/42 en algunos casos, y la posibilidad de ampliar la imagen hasta 12 veces gracias al zoom incorporado.
Aunque el dispositivo aún está limitado —por ejemplo, actualmente ofrece visión en blanco y negro sin escala de grises— los investigadores trabajan en una versión que permita distinguir tonos grises y aumentar la resolución.
El estudio también reportó efectos secundarios, como hipertensión ocular, pequeñas hemorragias tras la retina o desgarros que, en la mayoría de los casos, se resolvieron entre las primeras semanas y dos meses.
Este avance representa un hito en la medicina visual: devolver, aunque sea parcialmente, la capacidad de lectura y visión funcional a quienes enfrentaban una forma de ceguera sin tratamiento. Con PRIMA se abre una nueva era para las prótesis retinianas e intervenciones oftalmológicas.



















