15 de septiembre, Día de Concientización sobre el Linfoma: ¿qué es y cómo tratarlo?
Cada 90 segundos se diagnostica a una persona en el mundo, produciendo 200 mil muertes al año.

El linfoma es un tipo de cáncer en la sangre que afecta a 20 de cada 100 mil argentinos y este 15 de septiembre se busca concientizar difundiendo sus síntomas y su impacto sobre la vida de los pacientes.
También se espera proveer herramientas para identificar de manera temprana la enfermedad. Cada 90 segundos se diagnostica una persona en el mundo y produce alrededor de 200 mil muertes al año.
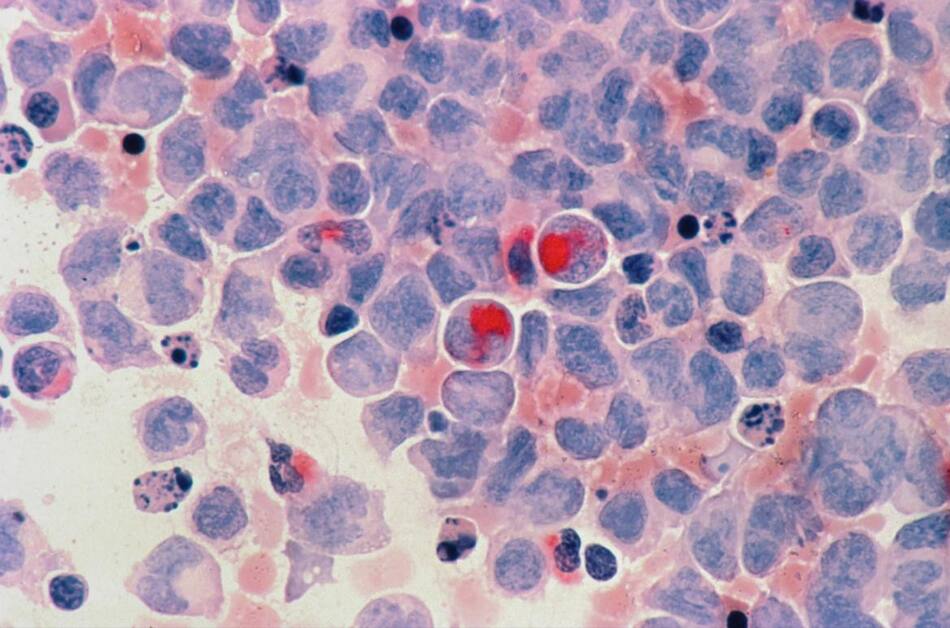
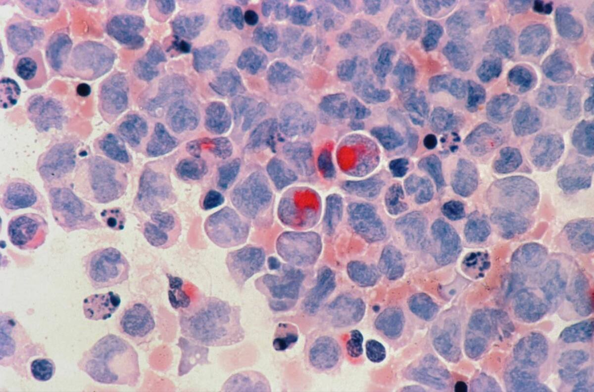
La gran mayoría de los pacientes ignora lo que es hasta que es diagnosticado. Se trata de un tipo de cáncer en la sangre que se manifiesta en los órganos del sistema linfático (la médula ósea, el bazo, el timo, los ganglios linfáticos y los vasos linfáticos). Junto con la leucemia y el mieloma representa la quinta causa de muerte por cáncer en el mundo. Es el tipo de cáncer que tiene la actriz Jane Fonda.
El tipo más común es el linfoma no-Hodgkin (LNH) y se encuentra en 4 de 5 pacientes que tiene la enfermedad. La mayor parte de estos casos empieza en los linfocitos-B, las células que forman parte del sistema inmunitario y ayudan a proteger el organismo contra infecciones.
Cuando empieza la enfermedad, las células del linfoma comienzan a multiplicarse y se agrupan en el sistema linfático.
El sistema linfático es la parte de nuestro organismo que da la respuesta inmunitaria. Esta red es la que produce, almacena y transporta los glóbulos blancos. Ellos son los que combaten infecciones.

Foto: National Cancer Institute en Unsplash.
Sus causas son desconocidas por lo que la mayor forma de prevenirlo es mediante el diagnóstico temprano. La mayoría de los pacientes no reconoce los síntomas por lo que no acude al médico a tiempo.
Los síntomas son el cansancio, aumento de la temperatura corporal, pérdida de peso, sudores nocturnos, picazón persistente en todo el cuerpo, tos y falta de aire. El tratamiento puede incluir quimioterapia, inmunoterapia, drogas blanco dirigida, radioterapia y combinaciones de estas opciones.
El día sirve para reclamar mayor investigación en el tema para que existan más herramientas de diagnóstico y tratamientos más accesibles para la comunidad. Debido a que se trata de tratamientos caros, no todos pueden costearlos.



















