La enfermedad que se propaga debido al cambio climático: aumentan los casos de infección por hongos en América
El calentamiento global está intensificando eventos climáticos extremos como sequías y tormentas de polvo, lo cual facilita la dispersión de esporas de hongos que impactan en la salud. Cómo reducir el riesgo de contraerlo.

La Agencia de Protección Ambiental de los Estados Unidos dio una advertencia, que involucra a todo el continente americano, por un aumento de casos de la fiebre del Valle. Esta infección, causada por los hongos Coccidioides immitis y Coccidioides posadasii, es consecuencia de los efectos del calentamiento global en gran parte.
Los hongos responsables de la afección, también llamada coccidioidomicosis, se encuentran en el suelo y sus esporas son liberadas al ambiente árido o semiárido. Las personas pueden contraer la enfermedad al inhalar esas esporas, por lo que el aumento de los períodos de sequía y de vientos contribuye al incremento de la incidencia.

La sequía es una causa de proliferación de la enfermedad. Foto: Unsplash.
Además, los patrones cambiantes de temperatura y precipitación están expandiendo las áreas donde los hongos pueden crecer, lo que también impacta la incidencia de la infección en regiones endémicas y no endémicas.
Aumentan los casos de la fiebre del valle
La coccidioidomicosis se transmite principalmente a través de la inhalación de esporas del hongo presentes en el suelo, sobre todo en áreas donde las condiciones ambientales son secas.
Así, las personas que viven en regiones de estas características deben estar muy alertas dado que, aunque en muchos caso la infección se limita a los pulmones y puede causar síntomas similares a los de una gripe, en otros la enfermedad puede volverse crónica y diseminarse a otras partes del cuerpo, causando complicaciones graves.

Lesión crónica en el hemicuello derecho debida a la infección fúngica por Coccidioides. Foto: Wikipedia.
Las personas con sistemas inmunológicos debilitados son más propensas a desarrollar formas graves de la enfermedad.
Cómo evitar la coccidioidomicosis
En Argentina, más de la mitad de los casos diagnosticados corresponden a formas crónicas pulmonares o diseminadas, lo que indica una falta de detección temprana de la enfermedad.

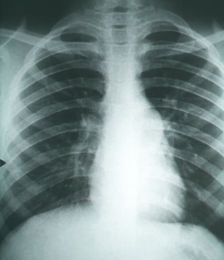
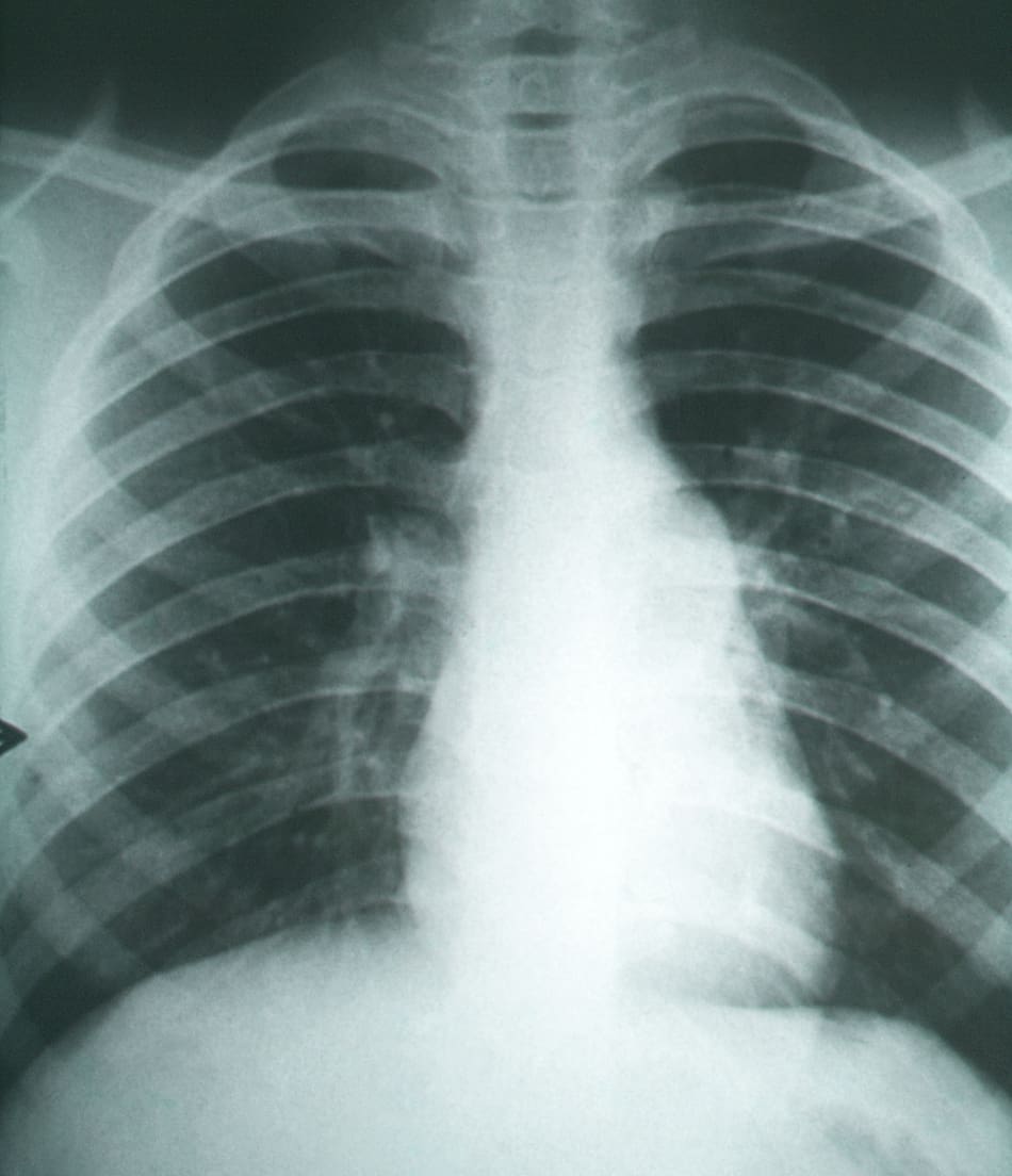
Fibrosis pulmonar secundarias a la coccidioidomicosis.. Foto: Wikipedia.
Así, si bien no es totalmente prevenible, hay algunas medidas que se pueden tomar para reducir el riesgo de contraer la fiebre del valle:
- Evitar las áreas donde se estará expuesto a la suciedad o al polvo.
- Cerrar las ventanas y permanecer dentro durante las tormentas de polvo.
- Evitar actividades como jardinería que signifiquen una exposición a esporas de hongos.
- Utilizar filtros de aire en interiores.
- Para evitar infecciones de la piel, limpiar bien los cortes y raspaduras con agua y jabón.



















