Día Mundial de la Neumonía: cuáles son sus síntomas y cómo prevenir la enfermedad
Según la OMS, es la principal causa de muerte en los niños menores a cinco años a nivel global. Cuáles son las claves para prevenirla y mantenerse siempre sano.

La neumonía es una infección respiratoria que afecta a los pulmones y genera una acumulación de secreciones y líquido en su interior, dificultando la respiración y disminuyendo los niveles de oxígeno en sangre, por lo que es muy importante saber prevenir esta enfermedad, ya que puede ser mortal.
De hecho, según los últimos datos proporcionados por la OMS, se trata de la principal causa de muerte infecciosa en niños a nivel mundial, con 740,180 menores de 5 años fallecidos tan sólo en el año 2019, cifra que representó el 14% de todos los decesos en este grupo poblacional, pero el 22% en menores de entre 1 y 5 años.

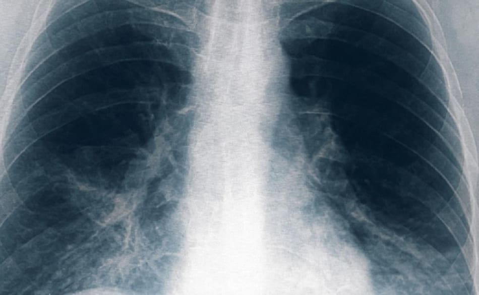
Neumonía bilateral, radiografía, Foto Télam
Por otro lado, según el Centros para el Control y la Prevención de Enfermedades de Estados Unidos, la tasa de mortalidad global entre 2018 y 2022 fue de 12,3 por cada 100.000 personas.
El Día de la Neumonía, que se celebra cada 12 de noviembre, pretende concientizar sobre esta enfermedad para prevenirla lo máximo posible. Y aunque los avances médicos representan una mayor disponibilidad de tratamientos, el envejecimiento y las enfermedades crónicas mantienen el cuadro en riesgo.

Cuidar la salud respiratoria es crucial para evitar la neumonía. Fuente: Unsplash.
Neumonía: quiénes tienen más riesgo y cómo cuidarse
La neumonía puede afectar a cualquier persona en cualquier etapa de su vida, pero sin embargo existen ciertos grupos que presentan formas más graves y que deben tener especial cuidado. Entre esos pacientes, se encuentran:
- Los niños: los menores de dos años son los más vulnerables a esta enfermedad debido a que su sistema inmunológico no alcanzó su desarrollo completo. Las enfermedades respiratorias, de hecho, son las más comunes en bebés.
- Adultos mayores de 65 años: las personas en este grupo de edad presentan un sistema inmunológico menos efectivo y entre más avanzada es la edad, mayores serán las complicaciones.
- Fumadores: el tabaco daña las defensas naturales de las vías respiratorias y facilita la entrada de gérmenes a los pulmones.
- Pacientes con enfermedades crónicas como EPOC o ASMA y personas inmunocomprometidas.

La lactancia es una buena forma de mantener a los bebés protegidos contra los virus respiratorios. Foto: Unsplash
Cómo prevenir la neumonía
Prevenir la neumonía depende en gran medida de identificar los factores de riesgo y seguir ciertas medidas de salud. Una de las formas más accesibles e importantes es a través de la vacuna de la influenza, ya que la gripe puede conducir a una infección más grave si no es curada de forma adecuada. Además, los expertos recomiendan la inoculación contra el neumococo y el COVID-19.
Otra forma de prevenirla es lavándose las manos con frecuencia, cubrirse nariz y boca al estornudar o toser y evitar el contacto cercano con persona que estén enfermas y que puedan ser consideradas como “de riesgo”.
En el caso de los niños, se recomienda sostener la lactancia materna por al menos seis meses, ya que esto fortalece su sistema inmunológico, además de cumplir con el calendario infantil de vacunación. Prevenir la neumonía es un esfuerzo que involucra cuidados personales, mantener un estilo de vida saludable y, en algunos casos, vacunarse, sobre todo si se trata de un paciente de riesgo o con edad avanzada.


















